Il Tuo Sorriso Meraviglioso Comincia Qui a Palermo

My Doctor House: professionalità e cura per la salute orale di tutta la famiglia nel cuore di Palermo. Prenota oggi la tua prima visita gratuita.

Cure di Eccellenza

I Nostri Servizi Dentistici a Palermo

Nel nostro studio My Doctor House offriamo trattamenti all'avanguardia per coprire ogni esigenza funzionale ed estetica del tuo sorriso.

Igiene e Prevenzione

Pulizia dentale professionale e check-up periodici per mantenere gengive e denti sani nel tempo, prevenendo carie e infiammazioni.

Estetica Dentale

Faccette dentali e sbiancamento professionale per un sorriso luminoso e armonioso. Ritrova la sicurezza di sorridere a Palermo.

Implantologia

Sostituzione di denti mancanti con impianti in titanio certificati e tecniche minimamente invasive per un risultato naturale e duraturo.

Ortodonzia

Apparecchi tradizionali e allineatori invisibili per allineare i denti di adulti e bambini con il massimo comfort.

Odontoiatria Generale

Cura delle carie, devitalizzazioni (endodonzia) e ricostruzioni per ripristinare la salute e la funzione masticatoria dei tuoi denti.

Odontoiatria Pediatrica

Un approccio dolce e senza traumi per la cura dei denti dei più piccoli. Creiamo un'esperienza positiva per i bambini del nostro studio.

Chi Siamo

Il Tuo Studio Dentistico di Fiducia a Palermo

Team medico dello studio dentistico My Doctor House a Palermo

Sicurezza

e Qualità Garantita

La nostra è una struttura composta da un team medico di specialisti in ambito odontostomatologico che si prenderà cura del tuo sorriso.

Grazie ad attrezzature all'avanguardia siamo in grado di offrire rigorosi standard di qualità, in completa sicurezza e con tempi e costi contenuti. I dentisti che lavorano al suo interno si occupano di tutte le branche dell'odontoiatria:

  • Parodontologia laser assistita
  • Conservativa ed Endodonzia
  • Igiene orale e Pedodonzia
  • Protesi dentarie
  • Chirurgia e Implantologia
  • Ortodonzia e Gnatologia

Dove trovarci a Palermo

Via Gorgone Giovanni, 43D - 90146 - Palermo

Richiedi Informazioni

Focus

Trattamenti in Evidenza

Sedazione Cosciente Dentista Palermo

Sedazione Cosciente

Sottoporti ad un trattamento dentale ti agita e ti preoccupa? La soluzione è semplice e indolore: la sedazione cosciente.

Implantologia Dentale Palermo

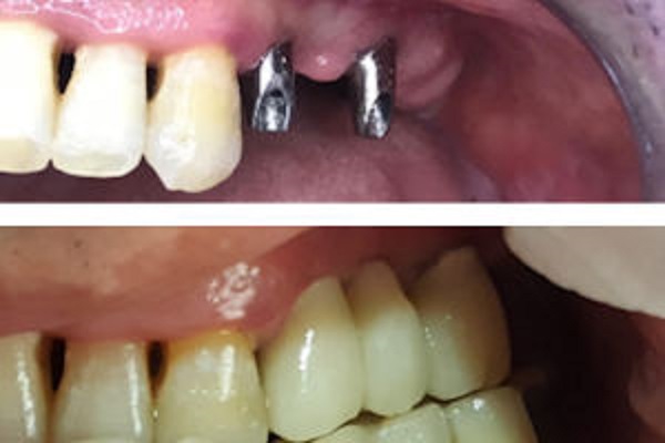
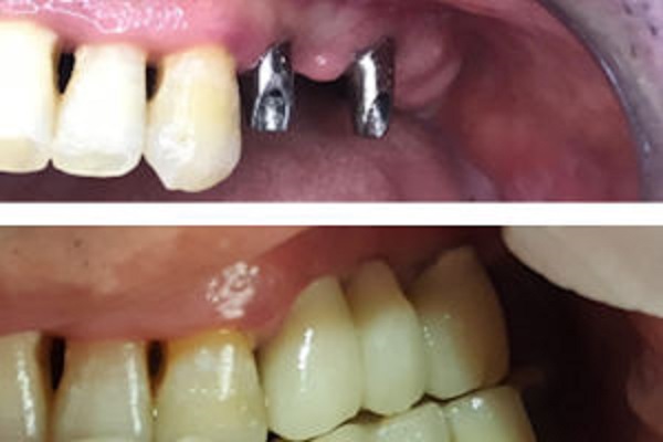
Implantologia Dentale

L'impianto dentale consente la sostituzione di uno o più elementi dentari persi con radici artificiali in titanio per protesi fisse.

Sbiancamento Dentale Domiciliare Palermo

Sbiancamento Domiciliare

Il sorriso che desideri comodamente a casa tua. Un trattamento sicuro, efficace e personalizzato per te.

Ortodonzia Invisibile Palermo

Ortodonzia Invisibile

La soluzione perfetta per allineare i tuoi denti e ottenere un sorriso perfetto senza che nessuno se ne accorga.